Image

ACL and Meniscal Tear Recovery Without Surgery

Have you been heard that many types of Anterior Cruciate Liagment (ACL) tears and, meniscus tears can recover without surgery, and can heal themselves back together?

The ability of many ACL and meniscus tears to heal naturally is now supported by a body of Australian and international research evidence dating back to the mid-1990s.(1-5)

People who do not succeed without surgery can always undergo surgery later down the line, without consequence for the knee, based on current research which has followed participants past a decade after their knee injury(6). Many can return to highly active lives, and there are examples of return to professional (change of direction) sport. There are many advantages to avoiding ACL surgery including:

  • No infection or anaesthetic risk
  • No disruption of healthy bone
  • No removal of hamstring tendon
  • Often a faster return to normal activities
  • No non-weightbearing period
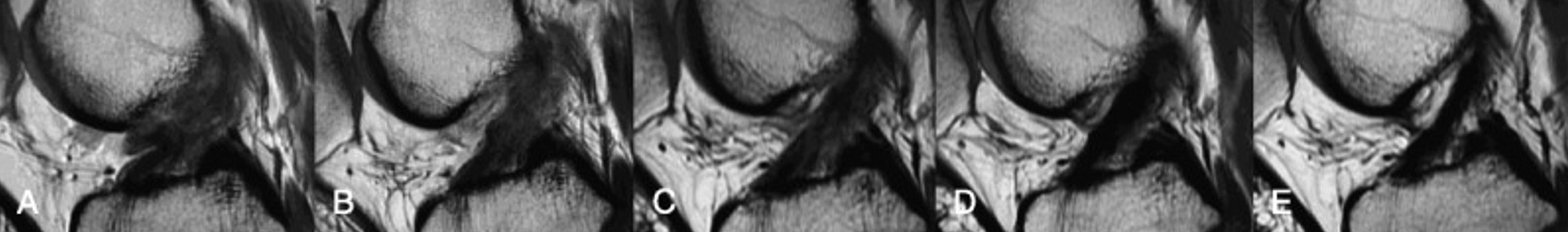
Below is a series of MRI pictures demonstrating ACL healing on MRI scan.(7) The first picture is at time of injury, followed by 2 months, 6 months, 1 year, 3 years post-injury.

MRI pictures demonstrating ACL healing on MRI scan - Brisbane physiotherapist

Research also shows no difference in long term osteoarthritis rates between surgical and nonsurgical approaches. (8)

Michael Ingle is a co-developer of the BLEX (BLock EXtension) ACL healing method. This involves using a specific knee brace over 12 weeks to restrict the knee to certain angles to enhance the ability of the ACL to heal back together naturally, without the need for surgery. Michael is currently researching this through La Trobe University, one of the world’s leading centres for knee research.

Michael can present you with all your recovery options in a balanced way with discussion of all potential risks and benefits and support you to make the choice you feel comfortable with. Please note that patient should not self-brace their knee prior to discussion with a knowledgeable health professional.

What if I don’t succeed without surgery?
Even if you are not satisfied with your outcome through rehabilitation alone, the strengthening of your knee will enhance your ability to recover from surgery.

How does nonsurgical ACL recovery work?

ACL rehab without surgery flowchart - Brisbane physiotherapist

Michael Ingle

Michael Ingle - Brisbane Musculoskeletal Physiotherapist

Bachelor of Science (Physiotherapy)
Master of Clinical Physiotherapy (Musculoskeletal)
Master of Music (Performance)

   Make an appointment with Michael
Choose ACL Injury initial consultation (60 mins)

 

REFERENCES

(1) Ihara, H., Miwa, M., Takayanagi, K., & Nakayama, A. (1994). Acute torn meniscus combined with acute cruciate ligament injury. Second look arthroscopy after 3-month conservative treatment. Clinical orthopaedics and related research, (307), 146--154.

(2) Jacobi, M., Reischl, N., Rönn, K., Magnusson, R. A., Gautier, E., & Jakob, R. P. (2016). Healing of the Acutely Injured Anterior Cruciate Ligament: Functional Treatment with the ACL-Jack, a Dynamic Posterior Drawer Brace. Advances in orthopedics2016, 1609067. https://doi.org/10.1155/2016/1609067

(3) Filbay, S. R., Dowsett, M., Chaker Jomaa, M., Rooney, J., Sabharwal, R., Lucas, P., Van Den Heever, A., Kazaglis, J., Merlino, J., Moran, M., Allwright, M., Kuah, D. E. K., Durie, R., Roger, G., Cross, M., & Cross, T. (2023). Healing of acute anterior cruciate ligament rupture on MRI and outcomes following non-surgical management with the Cross Bracing Protocol. British journal of sports medicine57(23), 1490--1497. https://doi.org/10.1136/bjsports-2023-106931

(4) Delin, Cyrille & Silvera, Stéphane & Djian, Patrick & Courroy, Jean-Baptiste & Rousseau, Didier & Legmann, Paul. (2012). Paper 77: Conservative Treatment of Ruptured ACL: A Prospective Study of Controlled ACL Healing with Fully Restored Anatomy and Function in Patients Pre-selected by Diffusion-weighted MRI: Initial Experience. Arthroscopy: The Journal of Arthroscopic & Related Surgery. 28. e378-e379. 10.1016/j.arthro.2012.05.561.

(5) Liu X, Zhang H, Feng H, Hong L, Wang X, Song G. Is It Necessary to Repair Stable Ramp Lesions of the Medial Meniscus During Anterior Cruciate Ligament Reconstruction? A Prospective Randomized Controlled Trial. The American Journal of Sports Medicine. 2017;45(5):1004-1011. doi:10.1177/0363546516682493

(6) Lohmander, L. S., Roemer, F. W., Frobell, R. B., & Roos, E. M. (2023). Treatment for Acute Anterior Cruciate Ligament Tear in Young Active Adults. NEJM evidence2(8), EVIDoa2200287. https://doi.org/10.1056/EVIDoa2200287

(7) Ihara, H., & Kawano, T. (2017). Influence of Age on Healing Capacity of Acute Tears of the Anterior Cruciate Ligament Based on Magnetic Resonance Imaging Assessment. Journal of computer assisted tomography41(2), 206--211. https://doi.org/10.1097/RCT.0000000000000515

(8) Webster, K. E., & Hewett, T. E. (2022). Anterior Cruciate Ligament Injury and Knee Osteoarthritis: An Umbrella Systematic Review and Meta-analysis. Clinical journal of sport medicine : official journal of the Canadian Academy of Sport Medicine32(2), 145--152. https://doi.org/10.1097/JSM.0000000000000894

311 Stanley Road
(Corner of Stanley Rd and Dickenson St)
Carina QLD 4152

© 2008- Carina Central Physiotherapy | Privacy Policy | Disclaimer | Website design: WebInjection